- 2025年12月23日
全身性強皮症と診断するために除外する疾患③ 好酸球性筋膜炎
好酸球性筋膜炎(Eosinophilic fasciitis, EF)は、腕や脚の筋膜(筋肉を包む膜)に炎症が起き、腫れや痛みが生じ、次第に皮膚や組織が硬くなる(硬化)まれな結合組織疾患。発症前に激しい運動や外傷がきっかけとなることもあり、血液中の好酸球が増えることが特徴だが、治療にはステロイド(副腎皮質ステロイド)が用いられ、多くの場合、皮膚の硬化や関節の動きの改善が期待できる。
■主な特徴と症状
部位:主に四肢(腕や脚)に左右対称性に発症し、体幹に及ぶこともあるが、顔や手は侵されないことが多い。
症状:痛みを伴う腫れや、板のように硬くなる皮膚の硬化。関節の動きが悪くなる(関節拘縮)。
「オレンジの皮」のような皮膚の見た目(orange peel-like appearance)や、血管に沿ったくぼみ(groove sign)が見られることも。

※:orange peel-like appearance
↑:groove sign
原因:過度な運動、外傷、薬剤、感染症などが誘因となり、自己免疫反応が関与すると考えられているが詳細不詳。
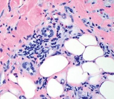
診断:症状に加え、皮膚・筋膜の生検(組織検査)が重要。
筋膜にリンパ球やマクロファージ、好酸球の浸潤が見られる。

治療:ステロイド(プレドニゾロンなど)による治療が中心。症状を見ながら漸減。軽症例では自然治癒することもあるが、多くの場合で薬物治療が必要。
■全身性強皮症との違い
全身性強皮症に似た皮膚硬化を示すが、レイノー現象(寒冷刺激で指が白くなる症状)や内臓病変が通常見られない点が異なる。
柏五味歯科内科リウマチクリニック
ホームページ