- 2025年9月28日
- 2025年12月22日
卵形状葉間胸水(胸水貯留):心不全を疑う
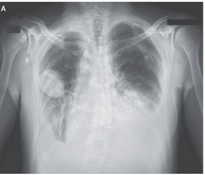
5日間連続する呼吸困難感を主訴に50歳男性が救急外来を受診した。
約20年前にホジキンリンパ腫の病歴があり、化学療法と放射線療法を受け治癒歴がある。
受診時身体所見では、頚静脈の拡張と肺基部の呼吸音の減少、心尖部での全収縮期雑音を聴取した。
胸部Xp施行。不明瞭な肺血管分布、心拡大、CPA dull所見を認めた。また右中肺野には境界のはっきりしたレンズ状病変を認めた。

心エコーではEF 45%、重度の僧帽弁逆流を認めた。
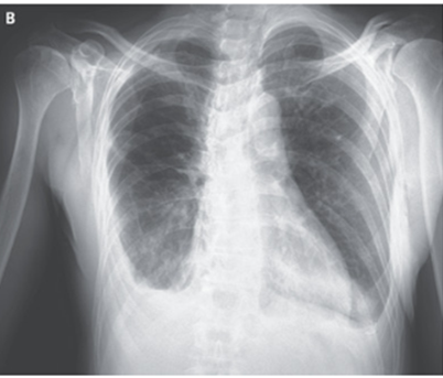
僧帽弁逆流に伴う心不全と診断し、利尿薬と血管拡張薬投与がなされた。3日後のX-p所見。
右肺のレンズ状病変は完全に消失し、肺水腫が減少していることが示唆された。
右肺のレンズ状病変は局在性の葉間胸水と考えられた。

HFrEF改善後、循環器内科で冠動脈評価が行われ、3枝病変が存在することが分かり、外科的冠動脈血行再建術および僧帽弁置換術が施行された。術後1か月後時点では患者の状態は良好である。
N Engl J Med 2023; 388:2086
DOI: 10.1056/NEJMicm2214264
柏五味歯科内科リウマチクリニック
ホームページ