

- 2025年10月21日
胆汁性胸水:肝転移による横隔膜欠損
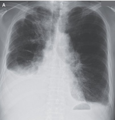
77歳男性。転移性肺腺癌がある。 2週間にわたる呼吸困難を主訴に救急外来を受診。 身体所見としては右肺における呼吸音の減弱が著明だった。 胸部X-pでは右側に胸…
77歳男性。転移性肺腺癌がある。 2週間にわたる呼吸困難を主訴に救急外来を受診。 身体所見としては右肺における呼吸音の減弱が著明だった。 胸部X-pでは右側に胸…
29歳男性。1週間前から頭痛と目のかすみを訴え救急外来受診。 6週間前に胃腸結核の診断を受け、抗結核薬を開始していた。 来院時身体所見とすると、後部硬直を認め、…
重症の火傷でICUに入出となった80歳女性。 住宅火災から救出され、体表面積の55%に2~3度熱傷を認めた。 採血ではPLT 93万(正常15~40万)、Hb …
生後1か月の男児。閉塞性尿路疾患の管理のため三次救急へ搬送。 身体所見としては、腹部膨満、臍ヘルニア(ヘルニア先から尿が出ていた)、下腹部の発疹を認めた。 肺葉…
27歳男性。凝固異常を指摘され内科外来受診。 既往は特になく、肝疾患や吸収不良や易出血性の既往もなかった。 家族歴として妹にも同様に皮膚所見と凝固異常があった。…
3歳女児。1週間前に上気道感染症を発症した後、1日間にわたり暗褐色尿と黄疸が出現し受診。 身体診察では、眼瞼結膜は蒼白、眼球結膜は黄染を認めた。咽頭は発赤し浸出…
20歳男性。3ヵ月前からの全身性の痒みを訴えて皮膚科受診した。 患者の性的パートナー(女性)も同様の掻痒を伴った。 身体所見としては胴体、生殖器領域、手首の屈筋…
52歳女性。末期腎不全にて腹膜透析にて管理されている。1ヵ月前から腹部違和感が持続し、内科外来受診。 既往としては12年間の腹膜透析中に3回の細菌性腹膜炎歴があ…
44歳女性。1週間前から膿疱性発疹が出現し救急外来受診。発疹は最初に顔面に出現し、その後下肢にも出現した。 身体所見では顔面と下肢に丘疹性膿疱性発疹が認められた…
62歳男性。胆石の評価を受けるためAUS施行されたところ後腹膜に腫瘤があることが指摘され内科外来紹介受診。 バイタルサインは正常で、身体検査においても特記すべき…