- 2026年3月5日
網膜芽細胞腫:早期診断が重要。RB1の生殖細胞系列変異は認めなかった一例。
3歳女児。
2か月前から右眼瞳孔が白くなり、昨日から疼痛も出現してきたため外来受診した。
麻酔を施行し、麻酔下にあるうちに行われた眼底検査では、瞳孔における白斑(A)の他、虹彩の新生血管形成および後眼房の白色結節病変が示唆された。

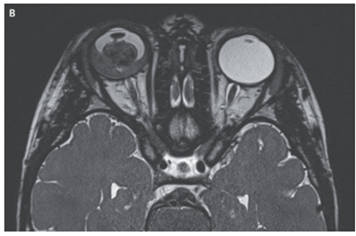
頭部MRIでは石灰化を伴う腫瘤と硝子体内播種が示唆され、また眼球外への進展を伴わない網膜および脈略膜浸潤が示された。

「網膜芽細胞腫」疑いと診断された。
高リスクと判断され、翌日に眼球摘出術が行われた。
病理組織検査により「網膜芽細胞腫」と確定診断された。
遺伝子検査では、腫瘍抑制遺伝子RB1の生殖細胞系列変異は示されなかったため、腫瘍は体細胞性の非遺伝性変異に起因すると考えられた。
「白斑症」は生命を脅かす可能性があるため、眼科医により早急の評価が必要。
「網膜芽細胞腫」は早期に発見された場合、レーザー療法で治療することが出来、視力を取り戻すことが出来る場合もある。
一方診断が遅れた場合には転移を防ぐために眼球摘出術と全身化学療法で治療されることが多い。
本症例でも眼球摘出後、化学療法を6サイクル受けた。
その後再発の兆候は認めていない。
N Engl J Med 2022; 386:2412
DOI: 10.1056/NEJMicm2118356
柏五味歯科内科リウマチクリニック
ホームページ