- 2026年1月14日
頭部メジャー疾患の非典型症例:急性期脳梗塞
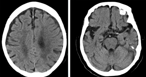
88歳女性。3時間半前から右上下肢の動かしにくさを自覚し、家族に連れられて来院。
頭部CT施行。

左脳に脳溝の狭小化を伴う浮腫性変化
中大脳動脈領域に低吸収域
左中大脳動脈に血栓疑われる
→急性期脳梗塞
※なぜ診断を急ぐ必要があるのか
→rt-PA(静注血栓溶解)療法。4.5時間以内かどうか重要(※適応は広がってきている)。
→機械的血栓回収療法の適応判断。rt-PA静注療法に追加して発症6時間以内(適応広がってきている。基本は前方循環系の主幹動脈)
点数つける必要あり(ASPECTS診断)。
現実的には内科に混ざった早期脳梗塞をCTで診断し、神経当直に渡す必要がある。
どれだけ急げるか。内科医の腕のみせどころ。
柏五味歯科内科リウマチクリニック
ホームページ