• 2026年1月15日

病原性O-157の典型画像症例

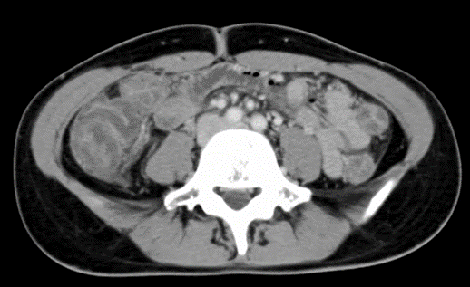
27歳女性。下腹部全体の痛みと頻回の下痢を主訴に来院。妊娠なし。造影CT施行。

所見:上行結腸に浮腫所見あり。

粘膜と外膜は造影効果が見られ、粘膜下層は浮腫状に肥厚して低吸収3層構造になっている。

右側結腸優位の著明な壁肥厚。病原性O-157であった症例。

柏五味歯科内科リウマチクリニック

ホームページ