- 2025年9月29日
- 2025年12月22日
好酸球性筋膜炎
66歳男性。
約8か月前から腕や脚の皮膚の張りと腫れ、痛みが出現した。よくならないため内科外来を受診した。
既往としては特にないが、強皮症の可能性に対してPSLとMTXを内服していた。
受診時身体所見では、胴体、腕、脚に対照的な木質硬結があり、手と足は保たれていた。皮膚はくぼみがある外観であった。腕を上げると表在静脈の経路に沿ってくぼみが生じた。肘の拘縮も認めた。

採血施行。好酸球数は2040/mm3(標準範囲 15~500)、抗核抗体は認めなかった。
確定診断のため、皮膚生検施行。
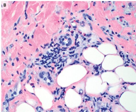
病理所見としては、真皮と皮下組織の間質ならびに血管周囲に好酸球とリンパ球の浸潤を認めた。

上記所見から「好酸球性筋膜炎」と診断した。
患者の症状は現在使用しているPSL+MTXでは無効であり、ステロイドパルス療法+IVIGが施行され、その後PSL+MMFで維持された。4か月後、症状は完全消失を維持している。
N Engl J Med 2023; 388:e65
DOI: 10.1056/NEJMicm2212023
柏五味歯科内科リウマチクリニック
ホームページ