• 2025年12月15日
  • 2025年12月22日

劇症C.difficile大腸炎による中毒性巨大結腸症:緊急結腸全摘術(+回腸瘻造設術)

40歳男性。嘔吐と下痢で救急外来を受診した。

特記すべき既往もなく、特段変わった治療歴もなかった。

バイタルはHR 132である以外は正常だった。

身体所見では、腹部は膨隆し鼓音を伴っていた。圧痛と反跳痛共に認めた。

採血所見ではWBC 29000(正常範囲 4000~10800)と上昇を認めた。

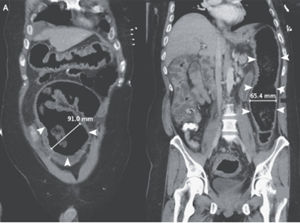
腹部CTではS状結腸および下降結腸の膨張を伴う汎結腸炎が明らかとなった。

原因精査目的に施行されたC.difficile-PCRが陽性であることが確認された。

経口および経静脈からMNZとVCMの投与が施行されたが、入院3日目にショック状態に至り、再度CT施行。

肝屈曲部の横行結腸拡大が120mmまで悪化していることが示され、「劇症C.difficile大腸炎による中毒性巨大結腸症」と診断された。

緊急結腸全摘術(+回腸瘻造設術)が施行された。

肉眼的な病理検査により、偽膜を伴う結腸の拡張が示された。

病理組織学的評価では偽膜性大腸炎が示され、C.difficile感染と一致する所見だった。術後経過は良好で、術後6日で退院することが出来た。

N Engl J Med 2022; 387:1309

DOI: 10.1056/NEJMicm2202891

柏五味歯科内科リウマチクリニック

ホームページ