- 2025年10月3日
印環細胞癌(卵巣転移を伴う胃腺癌:クルーケンベルグ腫瘍としても知られる)
30歳女性。3ヵ月前から顔面に進行性の皮膚病変が出現し、受診。
身体所見としては、口唇、口周囲、鼻のしわに色素過剰の黄色の乳頭腫様丘疹とプラークが見られた。

首や鼠径部、腋窩には過剰な色素沈着が見られた。

また胸焼けや倦怠感、15㎏の体重減少もここ数か月で認めた。
顔面病変から皮膚生検施行。
所見としては悪性黒色表皮症の疑いであった。表皮乳頭腫症や表皮腫、角化症、HPVは陰性だった。
悪性黒色表皮腫は皮膚および粘膜表面にビロード状の斑が突然発症する腫瘍随伴性皮膚疾患であり、皮膚の変化は良性黒色表皮症より広範囲に急速に悪化する特徴を有する。
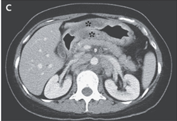
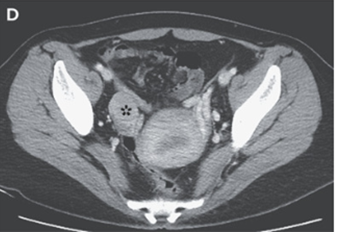
悪性腫瘍検索のため内科紹介となり、CT施行。異体の壁肥厚(下記星印)を認めた。

また右卵巣には最大直径44mmの固形腫瘤(下記星印)を認めた。

GF施行され、胃生検施行。ムチンに富む印環細胞腺癌がみつかり「卵巣転移を伴う胃腺癌(クルーケンベルグ腫瘍としても知られる)」の診断がなされた。
化学療法が施行され、当初はPR(partial response)が得られたが、6ヵ月時点ではPD(progressive disease)へ進行している。
N Engl J Med 2023; 388:1031
DOI: 10.1056/NEJMicm2207017
柏五味歯科内科リウマチクリニック
ホームページ