- 2026年3月20日
卵円孔開存(PFO)を通過し脳梗塞を発症した一例
67歳女性。脳梗塞にて入院中。心房細動がある。
入院中突然低酸素とショック状態に至った。
患者は今回の入院の3日前に結腸ポリープ切除術を受けており、エリキュースを休薬していた。
今回のエピソードにおけるバイタルはHR 118、BP 76/36、SpO2 72(15L リザーバーマスク)。
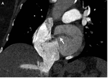
造影CTが施行され、肺動脈における肺塞栓、右心拡張、これまで知られていなかった卵円孔開存(PFO:patent foramen ovale)が認められた。

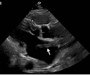
心エコーでは血栓が卵円孔を通って、左心房にまさに通過しているところが示された。

血栓溶解療法は施行されたが、血栓除去術はリスクが高すぎると判断され見送られた。
エリキュース→ヘパリンによる抗凝固療法が開始された。
4日後、入院時に存在していた左中大脳動脈梗塞の出血性変化と共に、新たな症脳梗塞が発症していた。
頭蓋内出血を安定させるため、抗凝固療法は4日目から中止された。
入院20日目に抗凝固療法が再開され、15週間後、リハビリテーション施設へ転院となった。
N Engl J Med 2023; 389:e45
DOI: 10.1056/NEJMicm2208610
柏五味歯科内科リウマチクリニック
ホームページ