- 2025年10月8日
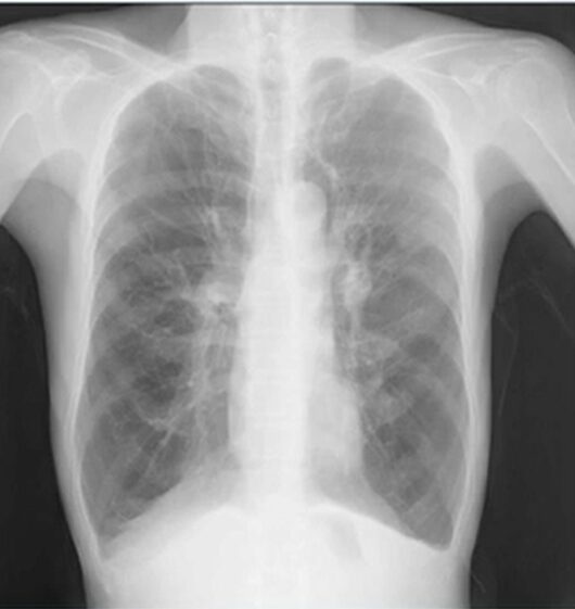
COPDのレントゲン(X-p)写真
典型的なCOPDのレントゲン写真(X-p)です。まずCOPDのレントゲン写真(X-p)の特徴です。
横隔膜の平坦化:
息を吐き出しにくくなり肺に空気が残りやすくなるため、横隔膜が通常よりも下がり、平らになって写ります。
肺の過膨張と樽状胸郭:
肺が常に膨らんだ状態(過膨張)になり、胸郭が通常よりも横に広がった樽のような形(樽状胸郭)に見えることがあります。
肺野が黒く写る(肺気腫):
肺胞が破壊され、X線が通りやすくなることで、肺全体が黒っぽく写ることがあります。
滴状心(心臓が細長く写る):
肺に押されて心臓が縦に引き伸ばされ、細長い形(滴状心)で写ることがあります。
肋間腔(肋骨の間)の開大:
肺の膨張により、肋骨の間隔が広がって見えることがあります。
本症例では、肺が大きく縦長に見えます(通常第10肋骨前後に横隔膜。本症例は数えると12肋骨まで数えられる)。
横隔膜が平らになっています(=横隔膜平定化)。
CPアングル dullで心臓は縦長に伸びている、といった特徴があります。

柏五味歯科内科リウマチクリニック
ホームページ