- 2025年10月8日
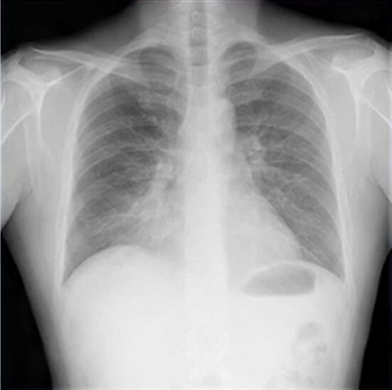
肺炎のレントゲン(X-p)写真
肺炎になってしまっている場合、レントゲン(X-p)には特徴的な所見が映ることが多いです。
どのような所見が映ることが多いか、共有しておきます。
白い浸潤影:
肺炎では、正常な「肺が黒く見える」部分に、炎症が起きている「肺胞に体液が溜まった箇所」が「白っぽく」写ります。
境界が不明瞭:
肺炎の浸潤影は、はっきりと区別できるようなはっきりした形ではなく、境界がぼやけて不明瞭な白い影として現れることが多いです。
肺胞性陰影:
肺胞が炎症を起こし、液体や細胞が溜まることで生じる、比較的はっきりした白い影がみられます。
本症例では、右下肺野に第2級とシルエットサイン陽性(境界不明瞭)の浸潤影を認め、肺の用量に変化がない(変化があったら無気肺考える)ことから肺炎が疑われます。
ちなみに辺縁が外向きに凸なら腫瘤を考えます。

柏五味歯科内科リウマチクリニック
ホームページ