- 2026年1月20日
肺癌脳転移症例:頭部のCTから腫瘍を疑う症例
3日前から左上肢麻痺、構音障害。家族に連れられて受診。
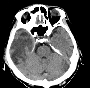
神経所見が認められるため頭部CT撮影。

CTではLDAと周囲の強い浮腫性変化。
左は脳溝がみられるが、右では消失している。
転移性脳腫瘍疑い。
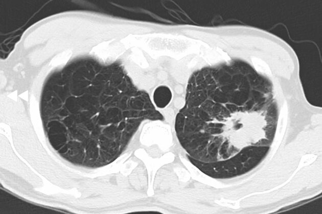
原発巣精査で肺野に空洞性病変

肺気腫所見の中に不整形の腫瘤影。腫瘤辺縁から棘状影(スピキュラ)がみられる。
肺癌脳転移疑い。
■転移性脳腫瘍
40歳以降に頻度が高くなり、60代にピーク。
原発巣は半眼が約半数、次に乳癌、その次に大腸癌、4番目は腎癌。
原発巣の症状が出る前に脳の症状で発見されることもある。
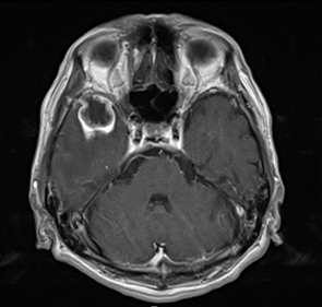
造影MRIで方針決定となる(個数・大きさは予後規定因子になる)。
造影MRI所見:リングエンハンスメント見られる。

※リングエンハンスされる脳疾患の鑑別
転移(治療:手術による摘出・放射線:ガンマナイフ/サイバーナイフ・薬物療法)
膿瘍
膠芽腫
塞栓(亜急性期)
挫傷
脱髄
放射線壊死
柏五味歯科内科リウマチクリニック
ホームページ