- 2025年10月8日
間質性肺炎の胸部レントゲン(X-p)所見
間質性肺炎はウイルス感染(COVID19肺炎でも起こります)や膠原病を含めた自己免疫性疾患、薬剤性や特発性にも起こる肺炎です。
診察ではfine crackleを聴取します。
レントゲンの特徴として下記のような所見があります。
すりガラス影(すりガラス様陰影):
肺胞内に分泌物があることで、全体がうっすらと白っぽく見える状態です。初期の間質性肺炎でよく見られる所見です。
粒状影:
肺の組織に細かい点状の白い影が多数見られる状態です。
網状影(網の目状の影):
肺に網の目のような白い線が見られる所見で、肺の間質に炎症が起きていることを示します。
蜂巣肺(ほうそうはい):
間質性肺炎が進行し、肺が線維化して硬くなると現れる、蜂の巣状の開口した陰影です。
びまん性病変:
これらの影が、肺全体に広がって見えることがあります。

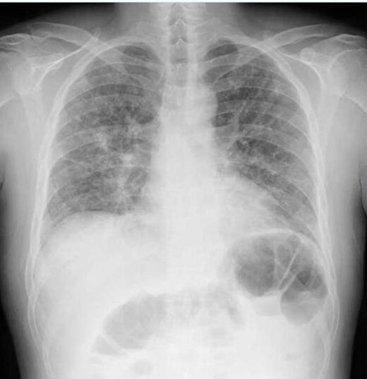
本症例では肺が小さく、横隔膜が挙上し両側肺野に、もやもやした濃度上昇(両側のすりガラス陰影)があることが確認できます。
このような場合に間質性肺炎を疑います。
柏五味歯科内科リウマチクリニック
ホームページ