- 2025年10月10日
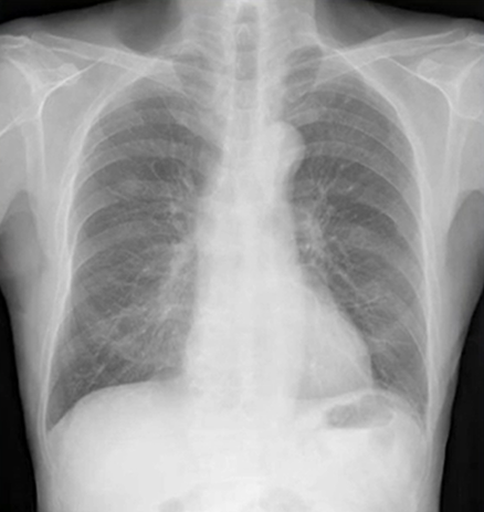
初期肺腺癌のレントゲン(X-p)写真
初期の肺癌の画像は読影がとても難しいです。「肺癌」を直接疑えなくても、異常陰影をとらえる、という順番で見ていくと「正常ではない」ことに気付け、精査へ進めます。今回は初期の肺癌画像です。分かるでしょうか?

所見としては右中肺野に限局したすりガラス影を認め、骨からはみ出てすりガラス陰影があることが分かります。このような限局性間瀬いつ性肺炎は存在しないため、精査が必要でCTに進むことが大切です。
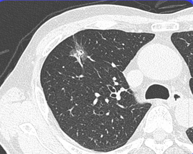
■CT像

精査の結果「初期の肺腺癌」でした。このように読影能力次第で患者さんの寿命を大きく左右してしまうことが多いのが肺癌ですので、普段からの研鑽が大事になります。
柏五味歯科内科リウマチクリニック
ホームページ