- 2025年10月15日
IgG4関連疾患の胸部レントゲン(X-p)
gG4関連疾患の胸部レントゲン写真には、リンパ節腫大(縦隔リンパ節の腫脹)や、肺野の「すりガラス影」、「結節影」、「線維化」といった多彩な陰影が見られます。また、縦隔リンパ節の腫脹は特徴的であり、サルコイドーシスのようなレントゲン所見を示すこともあります。今回は結果的にIgG4関連疾患であった胸部レントゲン写真になります。どのような手順で診断に至ったのでしょうか?見ていきましょう。

まず微熱が続き、咳嗽も出現しだしたので受診に至っています。胸部レントゲンの所見としては右下葉の濃度上昇が確認でき、左大動脈の周囲の濃度上昇(肋骨からはみ出ているので異常ととる)も確認できます。また左鎖骨骨折手術後です。
明らかな異常陰影ですので、悪性腫瘍も疑い造影CTを施行します。

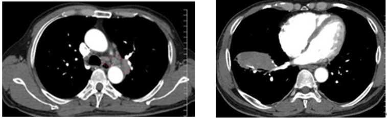
所見としては、大動脈周囲リンパ節腫脹が確認できます。右腫瘤影(腫瘤の内部に血管が見えており、固形腫瘍の可能性下がる)を認め、リンパ腫やリンパ増殖性疾患を疑い生検します。
生検結果、IgG4RDであることが分かりました。
柏五味歯科内科リウマチクリニック
ホームページ