• 2025年10月28日
  • 2025年12月22日

結腸腸重積症:普通は回結腸に認められるターゲットサインが結腸にあった症例です。2.5㎝の有茎性ポリープ(過誤腫)が原因でした。

特記すべき既往の無い5歳男児。2日前から波のある腹痛と粘液便を認め救急外来受診した。

身体所見では臍周囲領域の触診にて痛みを認めたが、反跳痛や板状硬は認めなかった。

AUS施行されたが特記すべき異常を認めなかった。

疼痛は来院後も続いていたため、腹部CTが施行された。

CTでは下降結腸にターゲットサイン(A:横断面、B:矢状面)が明らかにあった。

「結腸腸重積症」と診断された。

「結腸腸重積症」は小児の腸閉塞の稀な原因ではある。

ほとんどの場合は回結腸に認められる。

病的なリードポイントは通常若年性ポリープであることが多い。

空気圧整復が行われ、腹痛は消失した。

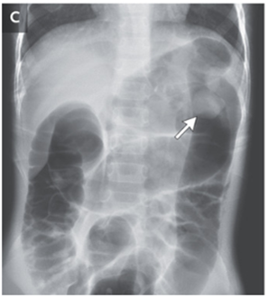
処置後に腹部X線施行。矢印の部分にポリープと思われる塊が認められた。

その後、結腸内視鏡検査が施行され、2.5㎝の有茎性ポリープが明らかになり、これが腸重積のリードポイントであると考えられた。

ポリープ切除が行われ、病理組織機検査では過誤腫であることが判明した。

2か月後のフォローアップ外来では特記すべき症状を認めない状態であることが確認された。

N Engl J Med 2023; 388:263

DOI: 10.1056/NEJMicm2204528

柏五味歯科内科リウマチクリニック

ホームページ