• 2026年1月18日

特発性食道破裂の一例

69歳男性。大量飲酒し帰宅後嘔吐。

その後左胸痛出現し救急外来受診。

ECGや採血上循環器疾患は否定的だった。

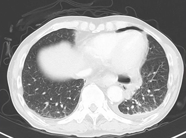
左胸痛が続くため造影CT施行。

縦隔条件

所見:

前頚部に気腫、食道周囲に気腫、わずかに気胸も見られる。左胸水も見られる。

特発性食道破裂が最も疑われる症例。

■特発性食道破裂

病態:器質的疾患のない正常食道に急激な内圧の上昇によって食道壁全層が破裂・穿孔が生じる。

男女比:4:1で男性が多い。30~60代男性に多い。

発症誘因:嘔吐、排便、重量挙げ競技、喘息発作、爆笑時(約70%が飲酒後嘔吐)

好発部位:横隔膜直上の胸部下部食道の左壁

症状:上腹部痛・胸背部痛、呼吸困難、ショック、皮下気腫、チアノーゼ

胸腔内穿破の有無:破裂内容物が縦隔内に限局している場合と壁側胸膜を破り胸腔内に達する場合がある。

誤診されるとしたら…ACS、急性大動脈解離、胃・十二指腸潰瘍穿孔

鑑別疾患:特発性縦隔気腫(若年者に多く、軽い痛み。全身状態は安定していて、CT画像で縦隔気腫のみ認める)

確定診断のために:水様性造影剤を用いた食道造影が有効。穿孔部位の位置、大きさ、穿破の方向、胸腔内穿破の有無などが評価可能。特発性縦隔気腫との鑑別にも有用。

※水様性造影剤の画像

初期診断が遅延すると…

縦隔膿瘍・膿胸・敗血症など重篤な状態に至り予後不良。

■特発性食道破裂治療法

・縦隔内に限局していたら保存療法も可。

・胸腔内穿破(気胸や内容物が胸腔内へ波及)していたら手術(左開胸・食道縫合術(大網被覆)・胸腔ドレナージ術が多い)

※近年では内視鏡的治療の報告もある。

柏五味歯科内科リウマチクリニック

ホームページ