- 2025年9月26日
- 2025年12月22日
可逆性後頭葉白質脳症(PRES:Posterior Reversible Encephalopathy Syndrome):シクロスポリン由来
35歳男性。
IgA腎症に対して治療を開始する方針となりシクロスポリンの投与を2週間前に開始したばかりだった。
昨日から錯乱・眼のかすみ・けいれんを認めたため救急外来受診。
来院時血圧、160/80 mmHg
身体所見としては傾眠傾向と視力低下が著明であった。
眼底検査が迅速に施行され、正常だった。
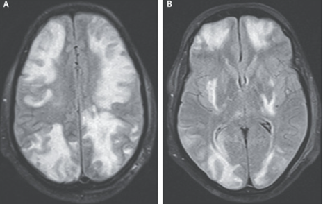
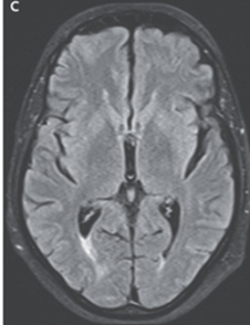
頭部MRI施行。T2強調像にて半球分水界パターンで皮質および皮質下の白質に高信号が示された。

MRAと脳静脈造影は正常であった。
以上より血管原性浮腫と一致するパターンと判断し、シクロスポリン使用に伴うPRES(可逆性後頭葉白質脳症症候群 Reversible posterior leukoencephalopathy)と診断した。
シクロスポリンを中止し、1週間後MRI再評価。改善が確認された。

■PRES
可逆性後頭葉白質脳症候群という名前に反して後頭葉にだけ起きるわけではない。頭痛やけいれん、意識障害を起こすことが特徴で、高血圧性脳症や、産褥子癇や免疫抑制剤の使用を背景に可逆的で特徴的な症状(頭痛・けいれん・意識障害)を呈するMRIで白質にT2強調像にて白質に高信号を呈することが定義。原因除去で基本的に改善する。
N Engl J Med 2023; 388:e75
DOI: 10.1056/NEJMicm2213584
柏五味歯科内科リウマチクリニック
ホームページ