- 2025年11月24日
- 2025年12月21日
化膿性肉芽腫:名前に反して膿も肉芽腫性病変も関与していない良性腫瘍です。一般的に切除され予後良好です。
45歳女性。2型糖尿病あり。
6週間前から痛みの無い上口唇病変を認め、形成外科受診した。
病変は過去3週間で急速にサイズが大きくなり、軽く触れると出血した。
身体検査では病変は紅斑性の円形で滑らかな有茎性の塊であった。

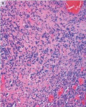
切除生検標本では増殖中の欠陥、線維芽細胞、多数の炎症細胞、および表面潰瘍形成が示され、化膿性肉芽腫と一致する所見が示された。

「化膿性肉芽腫」は唇、歯肉、指など頻繁な外傷部位に発生する可能性のある、急速に成長する良性の血管腫瘍。
名前に反してこれらの病変には膿も肉芽腫性病変も関与していない。
出血は一般的で、多くの場合、症状として現れる。
通常出血コントロール、潰瘍コントロール、外観形成のため病変が切除される。
4か月のフォローで病変は再燃を認めていない。
N Engl J Med 2022; 387:1979
DOI: 10.1056/NEJMicm2204602
柏五味歯科内科リウマチクリニック
ホームページ