- 2025年12月28日
腹膜垂炎の解説
腹膜垂炎(ふくまくすいえん)は、大腸の表面にある脂肪の突起(腹膜垂)がねじれたりして血流障害を起こし、炎症が起きる疾患。虫垂炎(盲腸)や憩室炎と症状が似ており、しばしば誤診されるが、多くは自然に治癒する良性の疾患。主な症状は限局した腹痛で、肥満者や男性に多く、抗菌薬不要で鎮痛剤(NSAIDsなど)の内服で改善することが多く、画像検査(エコー、CT)で診断される。
原因
- 腹膜垂のねじれ(捻転)::血流が悪くなり炎症が起こる(原発性)。
- 憩室炎などからの炎症の波及::他の炎症が腹膜垂に広がる(続発性)。
- リスク因子::肥満の男性に多い。
症状
- 腹痛・圧痛::お腹の特定の場所に痛みや圧痛(触ると痛い)がある。
- 発熱・吐き気::比較的少なく、あっても微熱程度。
- 全身状態::良好で、重症感は少ない。
- 血液検査::炎症反応(白血球、CRP)は正常~軽度上昇程度。
診断
- 画像検査が重要::超音波(エコー)やCT検査で特徴的な所見(脂肪の腫瘤など)を確認する。
- 虫垂炎・憩室炎との鑑別::炎症の場所や腸管壁の肥厚の有無で区別する。

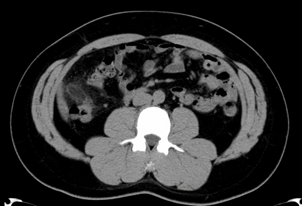
上行結腸壁から卵円形型の構造物が突出していて、内部の脂肪織濃度が上昇している。
※腹膜垂:直腸を除く大腸全域にあり、結腸の自由紐と大網紐に沿って垂れ下がっているメロンの種くらいの大きさの脂肪組織。
治療
- 保存的治療::鎮痛剤(NSAIDsなど)の内服で様子を見るのが基本。
- 抗菌薬は不要::抗生剤は必要ないことが多い。
- 手術は稀::症状が改善しない場合や合併症(腸重積など)がある場合に検討される。
□Take home message
身体所見のみからは診断は難しいものの、適切な画像診断を受ければ、多くの場合、抗生剤なしで治る予後良好な疾患。腹痛で受診した際は、虫垂炎や憩室炎だけでなく、この疾患も念頭に置くことが大切。
柏五味歯科内科リウマチクリニック
ホームページ