

- 2026年1月14日
気胸+再膨張性肺水腫の症例
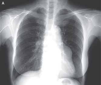
34歳男性。4~5前から続く右胸痛・咳嗽。2日前より呼吸困難感が出現。 SpO2 93(r.a) 呼吸音:右で減弱。 X-p: 右肺は高度虚脱。 縦隔の左方変位…


34歳男性。4~5前から続く右胸痛・咳嗽。2日前より呼吸困難感が出現。 SpO2 93(r.a) 呼吸音:右で減弱。 X-p: 右肺は高度虚脱。 縦隔の左方変位…


79歳女性。 脳梗塞の既往がある。 心臓の左縁に沿い、X-pにて異常所見を認めるため精査目的に内科外来紹介受診となった。 患者の主治医は6年前に定期X-p検査に…


70歳男性。血尿と排尿障害・夜間頻尿が出現し、泌尿器科外来受診となった。 既往に再発性の尿路感染症と前立腺肥大症があるが前立腺肥大に対する内服加療は拒否していた…


37歳男性。サッカーの練習中に腕に鈍的外傷を負った後、1週間前から左上腕に痛みと腫脹が出現し救急外来を受診した。 既往としてオピオイド依存症の病歴があり、ブプレ…


54歳女性。既往に気管支喘息とアレルギー性鼻炎がある。 3ヵ月にわたる湿性咳嗽と呼吸困難を認め救急外来受診となった。 発熱と悪寒、寝汗、体重減少(9㎏)を伴って…


25歳男性。特記すべき既往なし。 約3ヵ月前から倦怠感・吐気・空咳を認め内科受診した。 胸部X-p施行され、肺・右心房(矢印)、右心室(*)に透過性の低下した所…


40歳男性。喫煙歴あり。 2週間前から咳嗽、呼吸困難、寝汗、胸膜炎による左側胸痛のため外来を受診した。 聴診では左肺野の呼吸音が減弱していた。 胸部X-pでは左…


肩関節の重度の破壊や機能障害に対しては、人工肩関節全置換術(TSA)や、上腕骨頭のみを人工骨頭に置き換える人工骨頭置換術(HA)が有効な治療法です。これらの手術…


関節リウマチ(RA)患者の進行した足趾変形に対する手術には、切除関節形成術や関節温存手術などの選択肢があり、近年は関節温存手術が増加しています。どの術式を選択す…


77歳男性。転移性肺腺癌がある。 2週間にわたる呼吸困難を主訴に救急外来を受診。 身体所見としては右肺における呼吸音の減弱が著明だった。 胸部X-pでは右側に胸…