- 2026年1月14日
巨大冠動脈瘤:ECG正常。冠動脈CTにて動脈瘤確認症例です。
79歳女性。
脳梗塞の既往がある。
心臓の左縁に沿い、X-pにて異常所見を認めるため精査目的に内科外来紹介受診となった。

患者の主治医は6年前に定期X-p検査にて異常所見に気づいていたが、症状がなかったため、経過観察されていた。X-pでは徐々にサイズが大きくなっていった。
身体所見では特記すべき異常所見認めず。
UCGは正常だった。
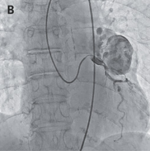
冠動脈CTにて左冠動脈から最大径45mmの動脈瘤が明らかとなった。
CAGが施行され、左冠動脈から動脈瘤に造影剤が流入し、更に瘻孔を通って肺動脈にも流入していることが示された。

「巨大冠動脈瘤」と診断。動脈瘤の結紮縫合、瘻孔閉鎖術を含む心臓手術が行われた。

巨大冠動脈瘤は偶発的に無症状のうちに発見されることが多いが、経過観察にて血栓症や破裂などの合併症が報告されている。動脈瘤は通常無症状のうちに外科的に手術される。
本症例患者は術後経過は良好で、術後16日に退院となった。
N Engl J Med 2022; 387:e23
DOI: 10.1056/NEJMicm2119409
柏五味歯科内科リウマチクリニック
ホームページ