• 2026年1月15日

腹部大動脈破裂:大動脈瘤の測定方法も解説

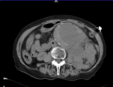
80歳女性。腰背部痛を訴え、来院時にはショック状態で意識レベルが低下していた。

補液にてバイタルを安定させながら単純CT施行。

腹部大動脈の拡張と、周囲に紅斑に広がる血腫あり。

診断:腹部大動脈破裂

 

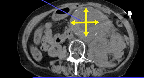
※腹部大動脈瘤の測定の仕方

大動脈長軸に直行する断面で長径と短径を測る。

最短径の大きさで危険度が変わる。

40㎜以下:破裂率0%/年

50~60㎜:10%/年

60~80㎜:30%/年

80㎜以上:50%

腹部大動脈瘤破裂→可能な限り速やかに循環動態を安定させる。

大動脈閉塞バルーンカテーテル(IABO)

腹部大動脈ステントグラフト内挿術(EVER)

開腹手術などが手。

状態が許せば造影CTにてより詳細を確認。

柏五味歯科内科リウマチクリニック

ホームページ