• 2026年1月15日

胸痛で急性虫垂炎が来院することもある

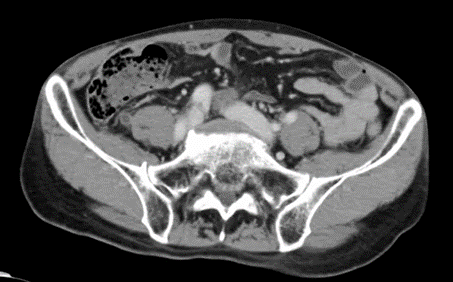
58歳男性。胸痛を訴えていたが、心血管疾患は否定的で、胸腹部造影CT施行。

所見としては虫垂に腫大と周囲脂肪織濃度の上昇。

診断:急性虫垂炎

「胸痛」でやってくる「虫垂炎」がありうることを覚えておく。

身体診察をしっかりすることと、CT画像を見る時、ルーチンで虫垂を見る習慣をつけておく。

柏五味歯科内科リウマチクリニック

ホームページ