- 2026年2月12日
肺塞栓および僧帽弁狭窄症に伴う左心房血栓症の一例
47歳女性。特記すべき既往なし。
3週間前から息切れが出現し、外来を受診。
受診時、頚静脈怒張を認め、下肢浮腫著明だった。
採血上D-dimer 7453 ng(参考値 <500)。
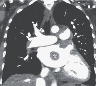
ECGでは動性頻脈が示され、造影CTでは肺幹および左右の主肺動脈に血栓が見られた。また左心房には境界明瞭な造影欠損領域が認められた。

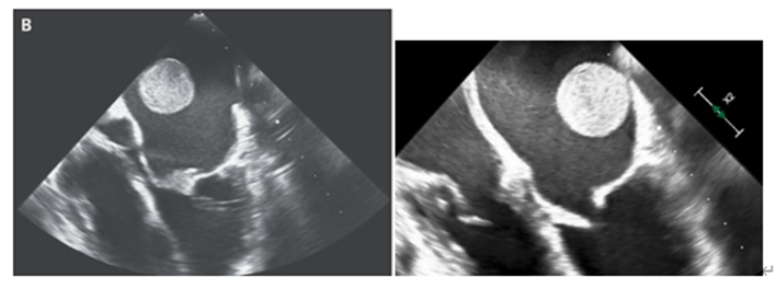
UCGでは重度の両心機能不全、severe MS、左房内には2.7㎝の可動性の血栓を認めた。
卵円孔の開存は無かった。
(エコー状球体の塊が左房内を移動している様子が見て取れる)

「肺塞栓および僧帽弁狭窄症に伴う左心房血栓」の診断となった。
左心房血栓の外科的切除、僧帽弁置換術、肺血栓内膜切除術が施行された。
血栓の病理では、少なくとも数週間前の血栓の線維化を示す、なめらかで丸い表面を有する血栓が認められた。

手術後18日目に良好なADLで退院し、生涯にわたる抗凝固療法を受けることとなった。
N Engl J Med 2022; 387:e8
DOI: 10.1056/NEJMicm2117229
柏五味歯科内科リウマチクリニック
ホームページ