- 2025年9月26日
- 2025年12月22日
特発性肺ヘモジデローシス
3歳女性。発熱、低酸素。
繰り返す発熱。
3ヵ月前にも発熱と低酸素血症があり入院している。
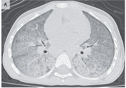
Hb 5.3、CTではびまん性すりガラス陰影・気管支の牽引性拡張を認めていた。

その際は原因は同定できず、輸血、抗生剤、グルココルチコイド投与を受け、軽快。
今回グルココルチコイド減量中に発熱が再燃し受診。
喀血なし。
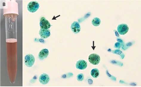
気管支肺胞洗浄が施行され、赤みがかかったピンク色であり、細胞学的検査によりヘモシデリンを含むマクロファージを認めた。

特殊採血の結果、感染症やリウマチ性疾患、先天性心疾患を含めたびまん性肺胞出血の関する評価は陰性であった。
上記より特発性肺ヘモジデローシスと診断された。
特発性肺ヘモジデローシスは「喀血」「貧血」「胸部異常陰影」が三徴候だが、小児の場合は「喀血」が無いことがあるため注意。
患者はグルココルチコイドとヒドロキシクロロキンによる治療を受け、現在外来にてフォローを受けている。
N Engl J Med 2023; 388:2179
DOI: 10.1056/NEJMicm2214160
柏五味歯科内科リウマチクリニック
ホームページ