- 2025年11月26日
- 2025年12月22日
結核治療後の空洞性病変に生じた肺アスペルギローマの一例
51歳男性。1週間前から喀血を認めるようになり、本日悪化したため救急外来を受診した。
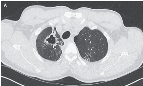
来院16か月前の胸部CTでは治療した肺結核の後遺症である右上葉の空洞が示されていた。

今回受診時の身体所見では右肺の上部における呼吸音の減弱が著明だった。
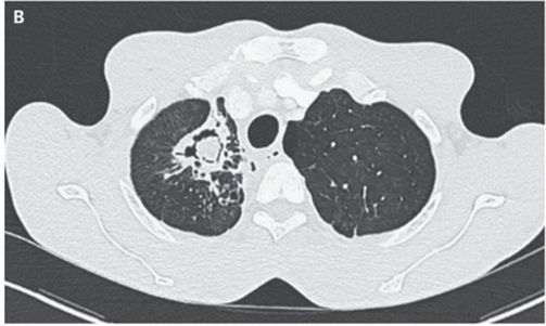
再度CT施行。右上肺の空洞壁の肥厚と新規空洞内腫瘤を認めた。

菌種の同定、抗真菌薬感受性検査、Tb併発の有無を評価するため、喀痰サンプルが採取され、結核の可能性は否定された。
顕微鏡では、鋭角に分岐した菌糸が観察された(C:染色なし、D:蛍光染色)
喀痰培養ではスモーキーグレーの真菌コロニーが増殖した(E)。

質量分析法により、Aspergillus fumigatusであることが同定された。
採血所見としてはAsp特異的IgG抗体陽性、HIV陰性であった。
「肺アスペルギローマ」と診断された。
VRCZ(ボリコナゾール)による治療が開始され、また、葉切除も検討されていたところでフォローアップに来なくなった。14か月後、大量喀血を起こし救急搬送され、肺動脈塞栓術が施行された。
N Engl J Med 2023; 389:1132
DOI: 10.1056/NEJMicm2216506
柏五味歯科内科リウマチクリニック
ホームページ