- 2025年11月7日
- 2025年12月22日
下垂体卒中:下垂体に病変のある方に重度の頭痛として現れ、複視や視力低下、下垂体機能低下症症状を呈します
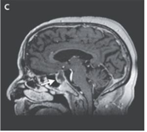
81歳男性。既往として機能不全性下垂体巨大腺腫があり、画像フォローにて経過観察されている(A)。

今回突然の頭痛と視力喪失を認め、外来受診となった。
受診時身体所見としては、右眼には眼瞼下垂、無反応瞳孔、挙上、下降、内転障害を認めた。
(下、左、右、上の順で動かしてもらっている)

「右動眼神経麻痺」の所見と一致したものであった。
臨床検査により、中枢性甲状腺機能低下症および、中枢性副腎不全が確認された。
頭部MRIではT1強調像にて出血を伴う下垂体病変の拡大が明らかになった。

「下垂体卒中」と診断された。
下垂体卒中は下垂体または腫瘍の突然の出血または梗塞のこと。
重度の頭痛として現れ、複視や視力低下、下垂体機能低下症を伴うことがある。
視力障害は外科的減圧術の適応となる。
ヒドロコルチゾンを静脈内投与して、経鼻的巨大腺腫切除術が施行された。
処置後4日目に、患者の視力はベースラインに戻り、後療法としてPSLとチラーヂンSの内服継続がなされることとなった。3か月後のフォローアップ外来では、右眼球運動麻痺は認めなくなっていた。
N Engl J Med 2022; 387:2366
DOI: 10.1056/NEJMicm2204942
柏五味歯科内科リウマチクリニック
ホームページ