- 2025年12月8日
- 2025年12月21日
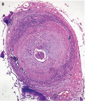
巨細胞性動脈炎の一例:側頭動脈肥厚著明例です。
70歳男性。3週間前から頭痛が出現するようになった。また咀嚼をすることで顎が痛むようになった。
改善を認めないため内科外来受診。
特に視力の変化は認めないとのことであった。
身体所見では、側頭動脈肥厚を認め、左側より特に右側で肥厚が顕著であった。

触診では動脈に圧痛を認め、脈拍は減少していた。
採血所見ではCRP 2.4、ESR(1h) 15(基準値<14)と上昇を認めた。
側頭動脈エコーでは血管内腔の周囲の低エコー領域である「ハローサイン」を伴うびまん性の壁肥厚が明らかになった。側頭動脈生検が施行され、リンパ組織浸潤および高く巨細胞による動脈壁の壁肥厚が著明であった。
眼科受診し、眼科では視力に異常はなかった。

「巨細胞性動脈炎(GCA)」と診断された。
治療は生検前に先行して行われ、高用量ステロイドが用いられた。
GCAの一部のケースではCRPは弱陽性でとどまり、ESRは上昇していないことがある。CRPの方が感度特異度が高い。
1週間後には症状は軽減し、4週間後にはGCの減量が開始された。
N Engl J Med 2022; 387:e36
DOI: 10.1056/NEJMicm2202567
柏五味歯科内科リウマチクリニック
ホームページ