- 2026年1月14日
頭部メジャー疾患の非典型例:クモ膜下出血
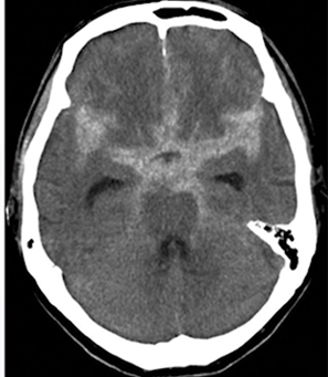
55歳女性。2~3日前から続く頭痛で来院。頭部CT施行。

診断:右Sylvius裂の溝が不明瞭。やや高吸収域を認めクモ膜下出血。
2~3日経っていたから典型的な所見とは解離して映っている。このパターンも覚えておく。
CT画像で診断が困難になるパターン
・発症から日数が経過している
・重度の貧血がある
・出血量が少ない
ちなみに典型的なクモ膜下出血は…

クモ膜下出血を疑ったら…
どこから出ているか調べに行く→CTA(動脈瘤を探しに行く)。
前交通動脈(A-com)30%
中大脳動脈分岐部(MCA)20%
内頚動脈-後交通動脈分岐部(IC-PC)30%
脳底動脈頂部(basilar top)5%
→同定したらope(クリッピング術)に行く。その流れを理解してやるべきことをやって脳外科紹介。
柏五味歯科内科リウマチクリニック
ホームページ