- 2026年1月14日
肺動脈相を忘れずにオーダーする必要がある疾患:肺動脈血栓症
30歳女性。国際線で長距離移動中、右ふくらはぎの痛みが出現。帰国後呼吸困難が出現し救急外来受診。
経口避妊薬の内服あり。
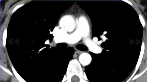
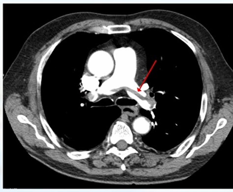
肺動脈相を映した造影CT撮影。

診断:肺動脈血栓症。
しっかり肺動脈相の撮影をすることが重要。
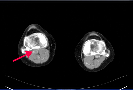
続いて静脈相で静脈血栓を確認する。

膝窩静脈内に血栓あり。
PEを疑ったら動脈相と静脈相をオーダーする。
※PEの症状
約80%:突発性の呼吸困難
約50%:胸痛
約10%:失神発作
急性血栓はひも状で血管壁と遊離していることもある(saddle pulmonary embolism)

柏五味歯科内科リウマチクリニック
ホームページ